جامعه پویا -کیست دندان نوعی زائده در بخش دهان و لثه است که با آبسه تفاوت های زیادی دارد و به دلیل تجمع باکتری ایجاد میشود. برای درمان کیست درمان حتما باید به پزشک مراجعه کنید.

دندان پزشکان اغلب برای مواردی که در رادیوگرافی ها ( عکس های فک و دندان) مشاهده می کنند، اصطلاح "ضایعه" را به کار می برند. در حقیقت کیست یک اصطلاح پاتولوژیک است؛ در واقع تشخیص کیست بر اساس شواهد میکروسکوپی مسجل خواهد شد. بنابراین در اغلب موارد به کار بردن واژه کیست تا زمانی که جواب پاتالوژیست آماده نشده یعنی پس از اتمام جراحی و فرستادن نتیجه به پاتولوژیست، تعریف درستی نیست؛ البته در برخی موارد با توجه به تکنولوژی های نو و نه چندان معمول مثل: رادیوگرافی CBCT یا سونوگرافی مکان دقیق کیست های نواحی فک، صورت و دندان را پیش از خروج، تعیین می کنند.
کیست در کجا ایجاد میشود
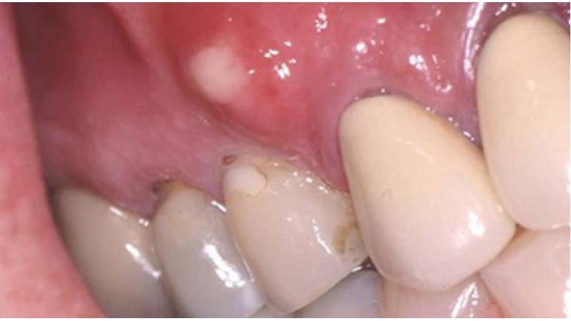
کیست بافت نرم تودهای کوچک و بدون درد بوده که قطر آن عمدتا کمتر از یک اینچ است. کیست زیر پوست داخل لب پایین، درون گونهها یا لثهها ایجاد میشود. کیست معمولاً بدون درد است، مگر آن که عفونی باشد. کیست کوچک ادنتوژنیک داخل فک بدون درد است. اگر کیست ادنتوژنیک بزرگ و عفونی شود، دردناک نیز خواهد شد. کیست باعث برجسته شدن استخوان فک، لق شدن و حرکت دندان نیز خواهد شد.

بیشتر اوقات، کیست انتهای ریشه دندان به دلیل عفونت ریشه دندان ایجاد می شود. عفونت ریشه دندان هم به علت پوسیدگی دندان که به عصب رسیده و درمان نشده ایجاد می شود. البته عفونت ریشه دندان، می تواند در اثر درمان ناقص ریشه دندان یا عصب کشی ناقص قبلی نیز به وجود آید. عفونت ریشه دندان موضعی بوده و در سیستم سلامت عمومی بدن مشکلی ایجاد نخواهد کرد. ولی موجب تحلیل استخوان شده و شانس حفظ دندان را کاهش می دهد. همچنین انجام درمان جایگزین مانند: ایمپلنت را سخت تر می کند.
بنابراین به کار بردن واژه ضایعه درست است نه کیست. کیست در حقیقت یک حفره تو خالی و کیسه مانند یا دارای مایع (مواد نیمه جامد ) همراه با دیواره یا غشایی متمایز با بافت مجاور خود است.
عوارض کیست دندان
از آنجایی که کیست های دندانی عفونی هستند می توانند موجب درد های شدید در دهان و دندان بیمار شوند.
از دیگر عوارض معمول کیست های دندانی می توان به عدم عملکرد نرمال میان دندان و لثه ها اشاره نمود.
این کیست ها می توانند با فشار های ناشی از عفونت و باکتری به دندان های سالم و مجاور دندان آسیب دیده نیز فشار وارد کرده و موجب خرابی آنها نیز شوند.
اگر کیست دندان بر روی فک ایجاد شود. می تواند با جابه جا کردن بافت های طبیعی لثه و فک موجب فرسودگی و از بین رفتن کامل دندان شود.
از آنجایی که کیست های دندانی روی لثه و در انتهای ریشه دندان تشکیل می شوند. اگر درمان نشوند می توانند به دندان فشار وارد کنند. در نهایت موجب لق شدن و افتادن دندان می شوند.
اگر کیست دندان پس از تشخیص به سرعت درمان نشود. در مواقعی که بیمار تحت فشار عصبی باشد ، می تواند موجب بروز بی حسی در اجزای صورت بیمار شود.

انبساط استخوان فک یکی دیگر از عوارض ایجاد کیست های دندانی است. که می تواند کاملا بدون درد باشد. اما موجب فرسودگی استخوان فک در بلند مدت شود. و در نهایت فک را ضعیف می کند.
آیا کیست به راحتی از بین میرود
اگر کیست کوچک باشد با عصب کشی دندان درمان می شود ولی کیست های بزرگ دندانی معمولا به کمک جراحی درمان می شوند. به این صورت که دکتر دندانپزشک ابتدا نمونه کوچکی از کیست را برای نمونه برداری جدا می کند. آن را به آزمایشگاه فرستاده تا نوع کیست دندان مشخص شود. سپس در یک جلسه، با ایجاد برش کوچکی کیست را به طور کامل خارج می کند. در برخی موارد به تشخیص دندانپزشک معالج نیازی به نمونه برداری قبل از جراحی نمی باشد.
کیست دندان ممکن است به مدت چند ماه یا حتی سال به آرامی رشد کند! با این حال کیست دندان، دیر یا زود عفونت می کند و احتمالاً به یک بحران دهانی تبدیل می شود که نیاز به درمان جدی و فوری دارد.

تفاوت کیست و آبسه
به نوشته دکتر جمیلیان کیست دندان در واقع کیسه ای است که توسط سلول های غیر طبیعی مجزا محصور شده است و عفونی نیست. اما آبسه دندان پر از چرک و عفونت است که به معمولا بر اثر یک عفونت باکتریایی یا قارچی ایجاد می شود. تفاوت اصلی علائم این دو بیماری در این استکه : کیست دندان به آرامی رشد می کند و معمولاً دردناک نیست، مگر اینکه بزرگ شود. اما آبسه دندان ناگهانی بروز می کند و بسیار دردناک است.