جامعه پویا - بیماری لثه یک بیماری بسیار شایع بین مردم است که بنابر دلایل مختلف ایجاد میشود و اگر به موقع درمان نشود میتواند آسیبهای جدی بر بدن وارد کند.
بیماری لثه انواع مختلفی دارد که به دلایلی مانند عدم رعایت بهداشت دهان و دندان، کمبود ویتامین شدید و مشکل در انعقاد خون، عفونت های دندانی و عفونت های غدد لنفاوی از جمله مشکلاتی است که باعث می شود بیماری لثه در فرد به وجود آید.
بیماری لثه در هر سنی ممکن است فرد را درگیر کند اما وقتی سن بالا می رود و سیستم دفاعی بدن ضعیف می شود امکان بروز این بیماری بسیار بیشتر می شود. بیماری های لثه می تواند تا از دست دادن کامل دندانها پیش برود و حتی فرد را دچار بیماری قلبی بکند.

علایم بیماری لثه
بیماری لثه علایم مختلفی دارد. از بوی بد دهان تا لاغری مفرط می تواند از عوارض بیماری لثه باشد. بنابراین طیف گسترده ای از علایم را دربر میگیرد.
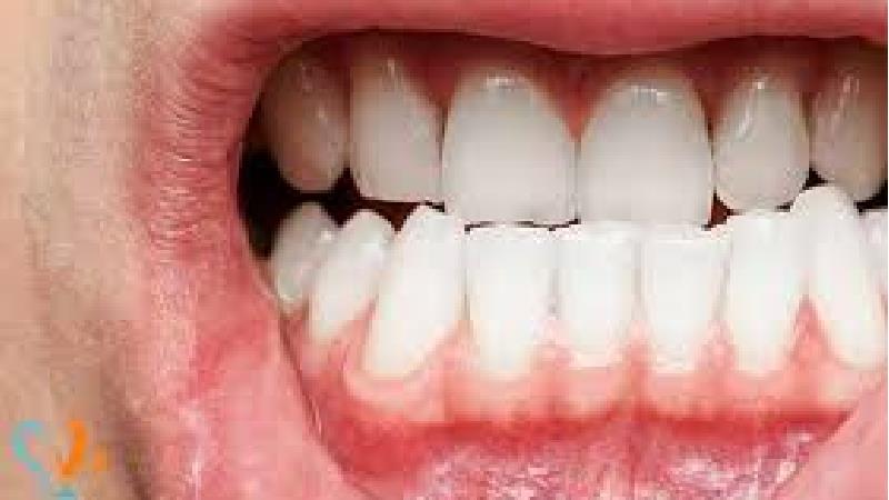
خونریزی لثه ها، بوی بدن دهان،داشتن دندانهای حساس، قرمزی و کبودی لثه ها، تشکلی جرم روی دندانها و داشتن دندانهای لق از جمله علایم بیماری لثه است که اگر جدی گرفته نشود می تواند به عفونت خونی و بیماری قلبی منجر شود.

چه عواملی باعث بیماری لثه می شود
همانطور که در بالا گفته شد، کمبود شدید ویتامین، عفونت و عدم رعایت بهداشت دهان و دندان عامل اصلی بیماری لثه است اما دلایل دیگری هم می تواند باعث بیماری لثه شود. ساییدگی و فشردگی دندان ها، این اتفاق در بسیاری از افرادی که دچار اضطراب هستند بسیار دیده شده است. هنگام استرس و ناراحتی افراد دندانهای خود را بهم فشار می دهند که این فشار منجر به فشار بر لثه ها می شود و انواع عفونت را ایجاد می کند. دومین عامل بیماری لثه سیگار کشیدن است. سیگار کشیدن تاثیر مستقیم بر بیماری لثه دارد و لثه ها را به شدت عفونی می کند.
رعایت بهداشت دهان و دندان
مهمترین عامل پیشگیری از بیماری لثه از بین بردن پلاک های ایجاد شده روی دندان است. اگر بتوانید بعد از هربار استفاده از خوراکی مسواک بزنید می توانید سلامت دندان و لثه های خود را تضمین کنید. البته شاید بگویید اینکار بسیار سخت است اگر مسواک دم دست شما نیست با استفاده از مسواک سخت است حتما از آدمس های بدون قند استفاده کنید. چون اینکار باعث می شود پلاک ها تا حد زیادی کم شوند.
اگر به دلایل مختلف دچار خونریزی شدید لثه می شوید حتما از دهانشویه ها استفاده کنید و اجازه ندهید این خونریزی در دهان شما دلمه ببندد.

چرا لثه خونریزی می کند
لثه ها به دلایل مختلف خونریزی می کنند. از بیماری های عفونی لثه تا بیماری سرطان می تواند عامل خونریزی شدید لثه ها شود. اما توجه داشته باشید اگر به دلیل عفونت لثه ، شما لثه های خود را از دست بدهید و به اصطلاح لثه ها خورده شود دچار خونریزی لثه شده و دندانهای خود را از دست می دهید. برای اینکه لثه های خود را تقویت کنید رژیم متعادل و سالم داشته باشید، با اینکار میتواند به سلامتی بهتر لثه کمک کند. مطمئن شوید که در رژیم غذاییتان ویتامین سی و کلسیم کافی وجود دارد. مصرف کافی این دو مورد، احتمال بروز تورم لثه را تا حد زیادی کاهش میدهد.
از مسواک مناسب استفاده کنید. مسواک هایی که خیل سفت هستند برای دندان و لثه مناسب نیست. می توانید از داروخانه مسواک مناسب لثه های حساس تهیه کنید. نسبت به خمیردندان هم حساس باشید و خمیردندانی استفاده کنید که استاندارد باشد.
برای تقویت لثه می توانید فلوراید درمانی کنید. فلوراید دندان و لثه را بسیار تقویت می کند و سلامت لثه های شما را تضمین می کند. اگر دهانشویه دم دست ندارید حتما از آب نمک رقیق استفاده کنید.